ĐAU DÂY THẦN KINH TAM THOA – NHẬN BIẾT TRIỆU CHỨNG VÀ ĐIỀU TRỊ
-
Tác giả: BỆNH VIỆN ĐA KHOA QUỐC TẾ NAM SÀI GÒN
-
17/12/2021
-
717
Đau dây thần kinh tam thoa là một bệnh hay gặp nhưng ít người biết do sợi thần kinh cảm giác của dây thần kinh bị tổn thương, các cơn đau ngắn, dữ dội, xuất hiện tự nhiên hoặc do kích thích.
Tư vấn chuyên môn bài viết
Bác sĩ chuyên khoa Ngoại Thần kinh – Cột sống.
Đau dây thần kinh tam thoa là gì?
Dây thần kinh tam thoa còn được gọi là dây thần kinh V là một trong những dây thần kinh chính của vùng mặt. Đau dây thần kinh V là do dây thần kinh V có vấn đề, là dây thần kinh chạy từ não ra chi phối cảm giác và vận động 1 bên mặt.

Các triệu chứng của đau dây thần kinh tam thoa?
Đau dây thần kinh tam thoa gây ra các cơn đau nhói và đau nhói ở má, mặt dưới, hoặc xung quanh mắt. Cơn đau kéo dài vài giây đến vài phút, và thường chỉ xảy ra ở một bên mặt. Các cơn đau có thể xảy ra lặp đi lặp lại.Cơn đau xuất hiện sau một kích thích như chạm nhẹ hay các rung động như: rửa mặt, đánh răng, cạo râu, nói chuyện, ăn uống, gãi, gió thổi… sẽ tạo ra cơn đau bùng nổ điển hình: đau dữ dội, đau như điện giật, như dao đâm có thể kéo dài vài giây đến vài phút.
Thông thường, một số cử động hoặc hoạt động nhất định khiến các cơn đau xảy ra, bao gồm: Chạm vào mặt, nhai, nói chuyện, đánh răng, mỉm cười hoặc cau mày, hơi lạnh phả vào mặt
Bạn có cần xét nghiệm hay chụp hình ảnh gì không?
Chẩn đoán đau dây thần kinh tam thoa dựa trên các triệu chứng điển hình và bác sĩ có thể cho biết liệu bạn có bị đau dây tam thoa hay không bằng cách khám về các triệu chứng của bạn và làm các phương tiện chẩn đoán.Các phương tiện chẩn đoán có thể bao gồm chụp CHT hoặc CLVT não.
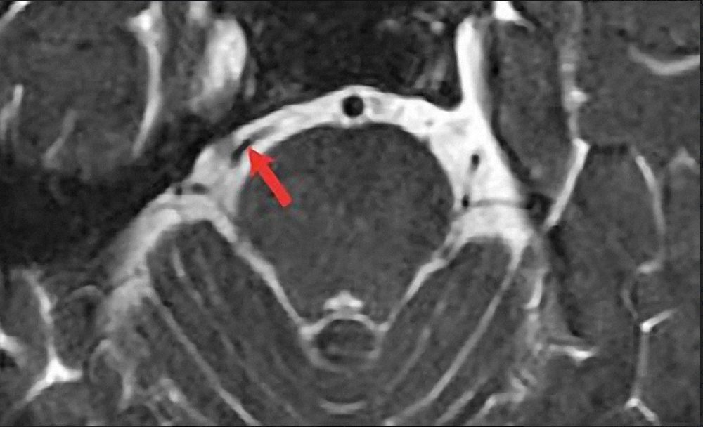
Đây là những chẩn đoán hình ảnh có thể tái tạo ra hình ảnh não và các dây thần kinh trong não vùng hố sau (chuỗi xung CISS 3D) của bạn để xem mạch máu có đè vào dây V hay không?

Hình CHT não chuỗi xung CISS 3D thấy mạch máu đè vào dây V
Điều trị đau dây thần kinh tam thoa như thế nào?
Điều trị bằng thuốc
Điều trị bằng phẫu thuật

Bệnh viện Đa khoa Quốc tế Nam Sài Gòn
Số 88, Đường số 8, Khu dân cư Trung Sơn, Xã Bình Hưng, TP. Hồ Chí Minh
Hotline: 1800 6767
info@nih.com.vn
Cập nhật lần cuối: 15:16 12/06/2025
